All Episodes

July 2, 2025 57 mins

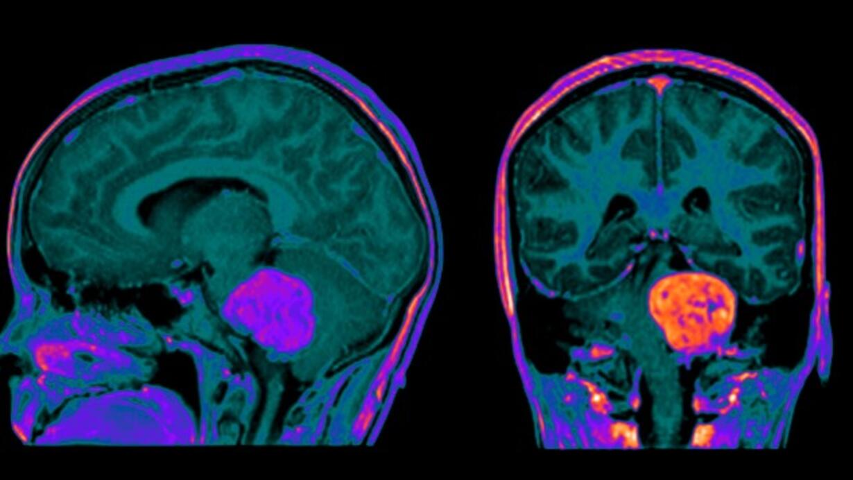
Bill and Kristan are joined by Dr. Max Wintermark who discusses the use of gadopiclenol in neuro imaging

Claim your Credit Here

This MR iCast episode is supported by Bracco Diagnostics Inc. through an unrestricted educational grant.

Mark as Played

Advertise With Us

Popular Podcasts

Stuff You Should Know
Crime Junkie

Crime Junkie

Does hearing about a true crime case always leave you scouring the internet for the truth behind the story? Dive into your next mystery with Crime Junkie. Every Monday, join your host Ashley Flowers as she unravels all the details of infamous and underreported true crime cases with her best friend Brit Prawat. From cold cases to missing persons and heroes in our community who seek justice, Crime Junkie is your destination for theories and stories you won’t hear anywhere else. Whether you're a seasoned true crime enthusiast or new to the genre, you'll find yourself on the edge of your seat awaiting a new episode every Monday. If you can never get enough true crime... Congratulations, you’ve found your people. Follow to join a community of Crime Junkies! Crime Junkie is presented by Audiochuck Media Company.

On Purpose with Jay Shetty

On Purpose with Jay Shetty

I’m Jay Shetty host of On Purpose the worlds #1 Mental Health podcast and I’m so grateful you found us. I started this podcast 5 years ago to invite you into conversations and workshops that are designed to help make you happier, healthier and more healed. I believe that when you (yes you) feel seen, heard and understood you’re able to deal with relationship struggles, work challenges and life’s ups and downs with more ease and grace. I interview experts, celebrities, thought leaders and athletes so that we can grow our mindset, build better habits and uncover a side of them we’ve never seen before. New episodes every Monday and Friday. Your support means the world to me and I don’t take it for granted — click the follow button and leave a review to help us spread the love with On Purpose. I can’t wait for you to listen to your first or 500th episode!

Music, radio and podcasts, all free. Listen online or download the iHeart App.

Connect

© 2026 iHeartMedia, Inc.