All Episodes

July 30, 2025 52 mins

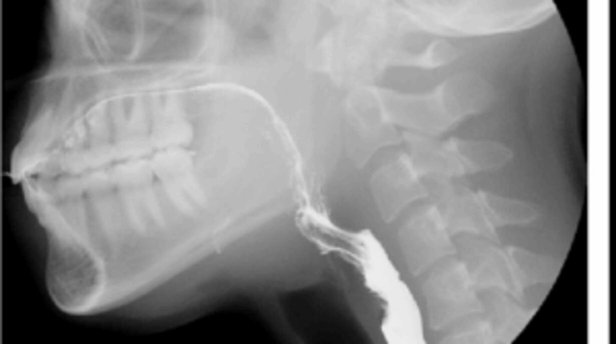
Ivo Hanza and Jo Puntil with Bill and Kristan discuss the clinical utilization of the modified barium swallow and the importance of standardization.

Claim your Credit Here

This MR iCast episode is supported by Bracco Diagnostics Inc. through an unrestricted educational grant.

Mark as Played

Advertise With Us

Popular Podcasts

Stuff You Should Know
Dateline NBC

Dateline NBC

Current and classic episodes, featuring compelling true-crime mysteries, powerful documentaries and in-depth investigations. Follow now to get the latest episodes of Dateline NBC completely free, or subscribe to Dateline Premium for ad-free listening and exclusive bonus content: DatelinePremium.com

On Purpose with Jay Shetty

On Purpose with Jay Shetty

I’m Jay Shetty host of On Purpose the worlds #1 Mental Health podcast and I’m so grateful you found us. I started this podcast 5 years ago to invite you into conversations and workshops that are designed to help make you happier, healthier and more healed. I believe that when you (yes you) feel seen, heard and understood you’re able to deal with relationship struggles, work challenges and life’s ups and downs with more ease and grace. I interview experts, celebrities, thought leaders and athletes so that we can grow our mindset, build better habits and uncover a side of them we’ve never seen before. New episodes every Monday and Friday. Your support means the world to me and I don’t take it for granted — click the follow button and leave a review to help us spread the love with On Purpose. I can’t wait for you to listen to your first or 500th episode!

Music, radio and podcasts, all free. Listen online or download the iHeart App.

Connect

© 2026 iHeartMedia, Inc.